Pathopic
HiPaKu
ZyPaKu
PathoBasic
PathoBasic Cytology
Quizzes
Projektinfos
PathoPic - Projekt- und Copyright-Infos
About
Pathopic
HiPaKu
ZyPaKu
PathoBasic
PathoBasic Cytology
Quizzes
PathoPic – image database
/
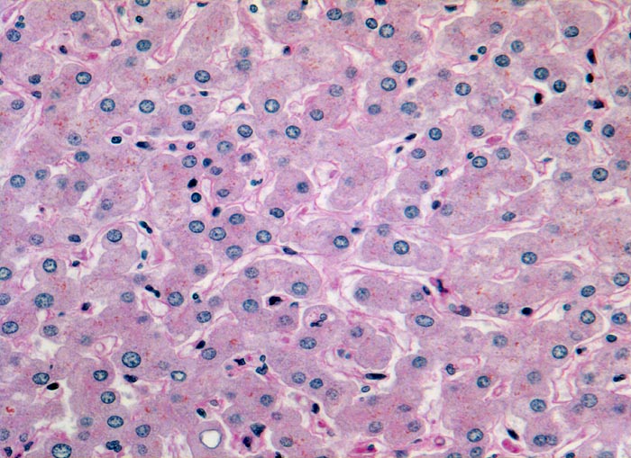
PathoPic ID 3130 - Normales Leberparenchym
de
Diagnose
Normales Leberparenchym
Diagnose Gruppe
Normalbefund
Topographie
Leber
Topographie Gruppe
Leber, Gallenwege, Pankreas
Beschreibung
Ein- bis zweireihige Leberzellplatten. Dazwischen Sinusoide. In den Sinusoiden sind die Kerne von Endothelzellen und Kupffer'schen Sternzellen erkennbar. Das feinkörnige braune Pigment in den Hepatozyten entspricht Lipofuscinpigment.
Bilder Typ
Histologie
Vergrösserung
200
Geschlecht
weiblich
Datum
Ersteintrag: 21.03.2002
Update: 04.02.2024
CPS
·
©
2024 Institut für Pathologie Basel
/
Dr. med. Katharina Glatz-Krieger
.
·
v2.1