PathoPic – image database / PathoPic ID 3164 - Ileum Conduit, keine Malignitätszeichen

de
Diagnose
Ileum Conduit, keine Malignitätszeichen
Diagnose Gruppe
Normalbefund
Topographie
Urin
Topographie Gruppe
Darm, Anus
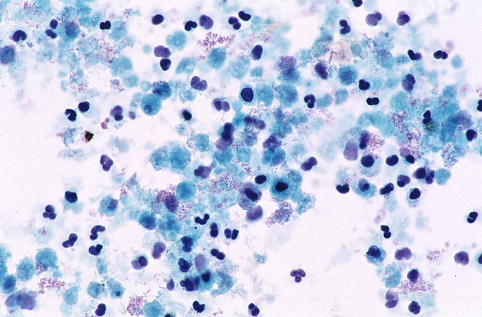
Beschreibung
Der Hintergrund ist stark detritisch und enthält viele Granulozyten, Bakterien und Schleim. Immer wieder erkennt man degenerierte Zylinderepithelzellen.
Klinik
Status nach schmerzloser Makrohämaturie (malignomverdächtige Zellen im Urin?) bei Ileum-Conduit (Ausschaltung der Harnlase wegen Unterbauchfisteln infolge Bestrahlung eines Prostatakarzinoms).
Kommentar
Keine Malignitätszeichen. Befund vereinbar mit Urin aus Ileum Conduit.
Bilder Typ
Zytologie
Alter
68
Geschlecht
männlich
Datum
Ersteintrag: 22.03.2002
Update: 04.02.2024