PathoPic – image database / PathoPic ID 3212 - Normale Gallenblase

de
Diagnose
Normale Gallenblase
Diagnose Gruppe
Normalbefund
Topographie
Gallenblase
Topographie Gruppe
Leber, Gallenwege, Pankreas
Beschreibung
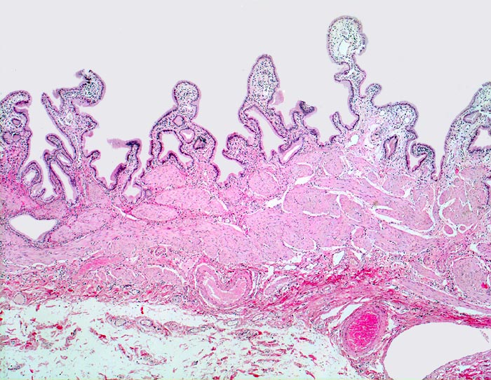
Die Gallenblasenschleimhaut bildet unregelmässige Falten, die bedeckt sind von einem hochzylindrischen Epithel. Unterhalb der Mukosa eine dicke Schicht glatter Muskulatur. Anders als in anderen Hohlorganen des Gastrointestinaltrakts fehlen eine Lamina muscularis mucosae und eine Submukosa. Unterhalb der Muskelschicht das lockere gefässführende Bindegewebe der Subserosa.
Bilder Typ
Histologie
Vergrösserung
25
Geschlecht
weiblich
Datum
Ersteintrag: 22.03.2002
Update: 04.02.2024