Pathopic
HiPaKu
ZyPaKu
PathoBasic
PathoBasic Cytology
Quizzes
Projektinfos
PathoPic - Projekt- und Copyright-Infos
About
Pathopic
HiPaKu
ZyPaKu
PathoBasic
PathoBasic Cytology
Quizzes
PathoPic – image database
/
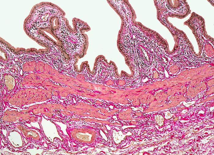
PathoPic ID 3213 - Normale Gallenblase
de
Diagnose
Normale Gallenblase
Diagnose Gruppe
Normalbefund
Topographie
Gallenblase
Topographie Gruppe
Leber, Gallenwege, Pankreas
Beschreibung
Die Gallenblasenschleimhaut bildet unregelmässige
Falten, die bedeckt sind von einem
hochzylindrischen Epithel. Auf die Mukosa folgt eine Schicht mit
glatter Muskulatur. Am unteren Bildrand das Bindegewebe der
subserösen Schicht.
Bilder Typ
Histologie
Vergrösserung
50
Geschlecht
weiblich
Datum
Ersteintrag: 14.09.2002
Update: 04.02.2024
CPS
·
©
2024 Institut für Pathologie Basel
/
Dr. med. Katharina Glatz-Krieger
.
·
v2.1