PathoPic – image database / PathoPic ID 3230 - Verhornendes Plattenepithelkarzinom

de
Diagnose
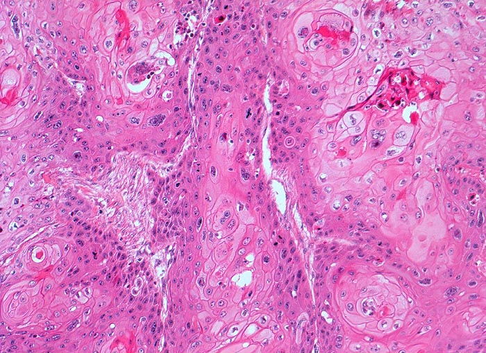
Verhornendes Plattenepithelkarzinom
Diagnose Gruppe
maligner Tumor
Topographie
Harnblase
Topographie Gruppe
Niere, Harnwege
Beschreibung
Solide plattenepithelial differenzierte Tumorzellstränge. Einige Tumorzellnester zeigen im Zentrum Verhornungszeichen. Zahlreiche Mitosen. Tumorzellen mit ausgeprägter Zellkernpolymorphie und reichlich eosinophilem Zytoplasma. Deutliche Zellgrenzen.
Klinik
Paraplegie seit 16 Jahren.
Kommentar
Plattenepithelkarzinome treten als Folge chronischer Entzündungen auf. (Dauerkatheterträger, Zyklophosphamid Langzeittherapie mit Zystitis, Bilharziose).
Bilder Typ
Histologie
Vergrösserung
100
Alter
48
Geschlecht
männlich
Datum
Ersteintrag: 22.03.2002
Update: 04.02.2024