PathoPic – image database / PathoPic ID 3248 - Zonale perizentrale Parenchymnekrosen bei Schock

de
Diagnose
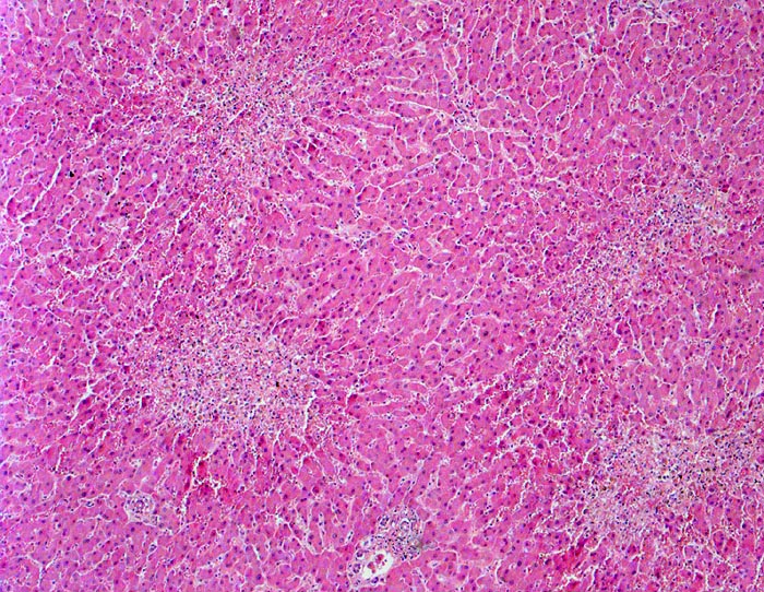
Zonale perizentrale Parenchymnekrosen bei Schock
Diagnose Gruppe
vaskulär / Durchblutungsstörung
Topographie
Leber
Topographie Gruppe
Leber, Gallenwege, Pankreas
Beschreibung
In der Übersicht erkennt man, dass das Parenchym rund um die Portalfelder in den Zonen 1 und 2 vital und weitgehend unauffällig ist. Um die Zentralvenen sternförmige frische zonale Nekrosen. An einer Stelle schmale zentrozentrale Nekrosebrücke.
Klinik
Schweres akutes Rechtsherzversagen bei multiplen zentralen und perizentralen Lungenembolien.
Bilder Typ
Histologie
Vergrösserung
50
Alter
74
Geschlecht
unbekannt
Datum
Ersteintrag: 22.03.2002
Update: 04.02.2024