PathoPic – image database / PathoPic ID 3256 - Hämochromatose

de
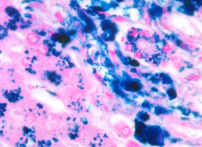
Diagnose
Hämochromatose
Diagnose Gruppe
Artefakt / Fremdkörper / Pigment
Topographie
Leber
Topographie Gruppe
Leber, Gallenwege, Pankreas
Beschreibung
Grobgranuläre Eisenpigmentablagerungen in Hepatozyten, Gallengangsepithel und Kupffer'schen Sternzellen.
Klinik
Genetische Hämochromatose vom homozygoten Typ.
Kommentar
Bei einer nicht genetisch bedingten Siderose der Leber enthalten in erster Linie Kupffer'sche Sternzellen Eisenpigment. Bei der aufgrund einer Mutation des Hämochromatosegens bedingten Siderose finden sich Ablagerungen in den Hepatozyten und später auch in Gallengangsepithelien, Endothelien und Makrophagen.
Bilder Typ
Histologie
Vergrösserung
630
Alter
58
Geschlecht
männlich
Datum
Ersteintrag: 25.03.2002
Update: 04.02.2024