PathoPic – image database / PathoPic ID 3257 - Hämochromatose

de
Diagnose
Hämochromatose
Diagnose Gruppe
Artefakt / Fremdkörper / Pigment
Topographie
Leber
Topographie Gruppe
Leber, Gallenwege, Pankreas
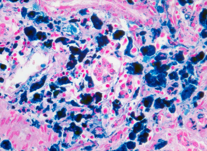
Beschreibung
Portalfeld mit Eisenpigmentablagerungen im Gallengangsepithel, im Endothel eines Portalvenenastes, in Makrophagen und in den periportalen Hepatozyten.
Klinik
Genetische Hämochromatose vom homozygoten Typ.
Kommentar
Bei einer nicht genetisch bedingten Siderose der Leber enthalten in erster Linie Kupffer'sche Sternzellen Eisenpigment. Bei der aufgrund einer Mutation des Hämochromatosegens bedingten Siderose finden sich Ablagerungen in den Hepatozyten und später auch in Gallengangsepithelien, Endothelien und Makrophagen.
Bilder Typ
Histologie
Vergrösserung
320
Alter
58
Geschlecht
männlich
Datum
Ersteintrag: 22.09.2002
Update: 04.02.2024