Kommentar
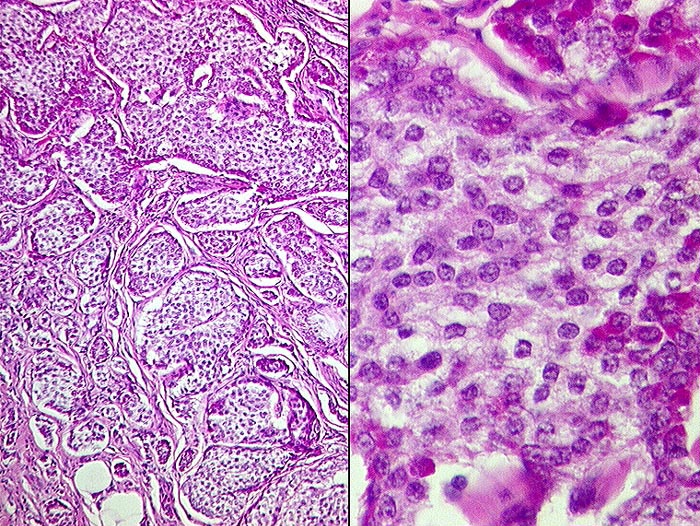
Der neuroendokrine Tumor ist der häufigste epitheliale Appendixtumor des Kindesalters. Er kann schon im Kleinkindesalter vorkommen. Mädchen stellen 62-90% der Patienten. Die Prognose ist sehr gut. Wegen des offenbar aggressiveren Wachstums im Kindesalter gibt es Autoren, die für eine grosszügige Indikation zur Hemikolektomie plädieren.
Aus: Remmele, Band 2, S.524.