Pathopic
HiPaKu
ZyPaKu
PathoBasic
PathoBasic Cytology
Quizzes
Projektinfos
PathoPic - Projekt- und Copyright-Infos
About
Pathopic
HiPaKu
ZyPaKu
PathoBasic
PathoBasic Cytology
Quizzes
PathoPic – image database
/
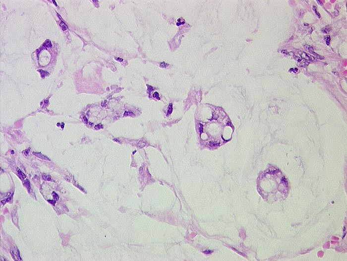
PathoPic ID 328 - Muzinöses Adenokarzinom
de
Diagnose
Muzinöses Adenokarzinom
Diagnose Gruppe
maligner Tumor
Topographie
Appendix vermiformis
Topographie Gruppe
Darm, Anus
Beschreibung
Kleine Tumorzellgruppen schwimmen in Schleimseen.
Zusatzbefund
pT4, pM1 (Peritonealkarzinose)
Klinik
V.a. Ovarialkarzinom
Bilder Typ
Histologie
Alter
63
Geschlecht
unbekannt
Datum
Ersteintrag: 07.11.2001
Update: 04.02.2024
CPS
·
©
2024 Institut für Pathologie Basel
/
Dr. med. Katharina Glatz-Krieger
.
·
v2.1