Diagnose
Follikuläres Lymphom
Diagnose Gruppe
maligner Tumor
Topographie
Lymphknoten, Kopf-cervikal
Topographie Gruppe
Lymphatische Gewebe, KM, Milz
Beschreibung
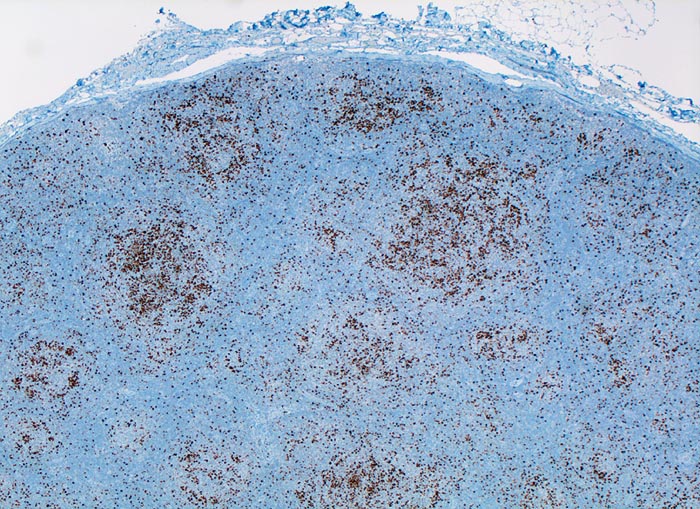
Die Reaktion mit dem Proliferationsmarker Mib-1 zeigt nur mässig zahlreiche positive Kerne vor allem in den Keimzentren. Bei einer reaktiven Lymphknotenhyperplasie würden deutlich mehr Zellkerne positiv reagieren.
Klinik
Vergösserte Lymphknoten supraklavikulär rechts.
Immunhistochemie
Ki-67 MIB 1
Datum
Ersteintrag: 25.03.2002
Update: 04.02.2024