PathoPic – image database / PathoPic ID 3282 - Osteoporose (rechts im Bild Normalbefund)

de
Diagnose
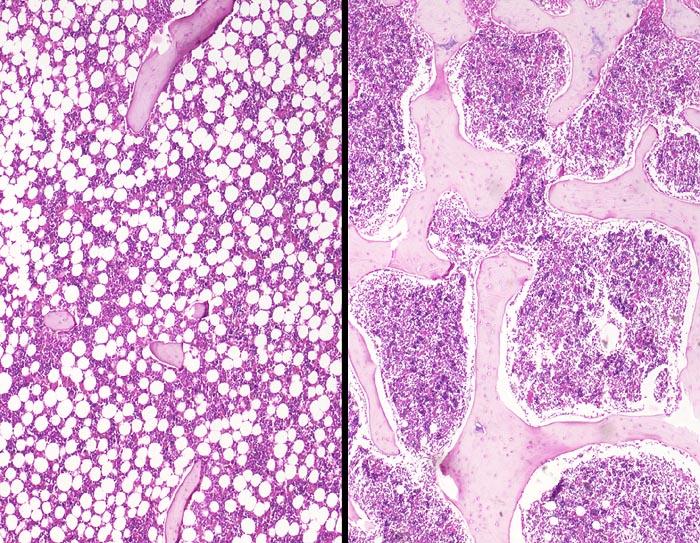
Osteoporose (rechts im Bild Normalbefund)
Diagnose Gruppe
Hypoplasie/ Involution/ Atrophie
Topographie
Knochen, Wirbelsäule
Topographie Gruppe
Knochen, Knorpel, Gelenke
Beschreibung
Links im Bild die Osteoporose mit Rarefizierung und Atrophie der Spongiosabälkchen mit Störung der Mikroarchitektur des Knochens durch hochgradige Reduktion der intertrabekulären Vernetzung. Im Vergleich dazu auf dem rechten Bild ein normaler spongiöser Knochen.
Zusatzbefund
-
Klinik
72 jährige Patientin mit Rückenschmerzen und einer Schenkelhalsfraktur. Sie stirbt an einer Pneumonie.
Bilder Typ
Histologie
Vergrösserung
25
Alter
72
Geschlecht
unbekannt
Datum
Ersteintrag: 25.03.2002
Update: 04.02.2024