Pathopic
HiPaKu
ZyPaKu
PathoBasic
PathoBasic Cytology
Quizzes
Projektinfos
PathoPic - Projekt- und Copyright-Infos
About
Pathopic
HiPaKu
ZyPaKu
PathoBasic
PathoBasic Cytology
Quizzes
PathoPic – image database
/
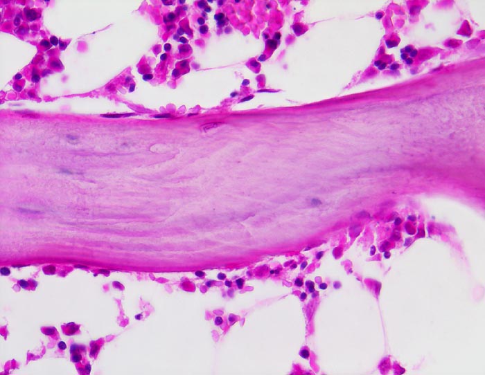
PathoPic ID 3285 - Spongiosa bei Osteoporose
de
Diagnose
Spongiosa bei Osteoporose
Diagnose Gruppe
Hypoplasie/ Involution/ Atrophie
Topographie
Knochen, Wirbelsäule
Topographie Gruppe
Knochen, Knorpel, Gelenke
Beschreibung
Nur schmales Bälkchen erkennbar, das extrem wenige und abgeflachte
Osteoblasten („lining cells“) zeigt.
Zusatzbefund
-
Klinik
72 jährige Patientin mit Rückenschmerzen und einer Schenkelhalsfraktur. Sie stirbt an einer Pneumonie.
Bilder Typ
Histologie
Vergrösserung
320
Alter
72
Geschlecht
unbekannt
Datum
Ersteintrag: 25.03.2002
Update: 04.02.2024
CPS
·
©
2024 Institut für Pathologie Basel
/
Dr. med. Katharina Glatz-Krieger
.
·
v2.1