PathoPic – image database / PathoPic ID 3286 - Mikrofraktur bei Osteoporose

de
Diagnose
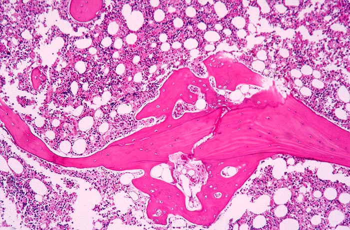
Mikrofraktur bei Osteoporose
Diagnose Gruppe
Hypoplasie/ Involution/ Atrophie
Topographie
Knochen, Wirbelsäule
Topographie Gruppe
Knochen, Knorpel, Gelenke
Beschreibung
Durch den Spongiosabalken verläuft eine leicht dehiszente schräge Frakturlinie. Der Frakturspalt wird überbrückt durch einen neugebildeten knöchernen Kallus.
Zusatzbefund
-
Klinik
72 jährige Patientin mit Rückenschmerzen und einer Schenkelhalsfraktur. Sie stirbt an einer Pneumonie.
Bilder Typ
Histologie
Alter
82
Geschlecht
unbekannt
Datum
Ersteintrag: 12.11.2001
Update: 04.02.2024