PathoPic – image database / PathoPic ID 3303 - späte Proliferationsphase

de
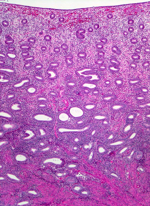
Diagnose
späte Proliferationsphase
Diagnose Gruppe
Normalbefund
Topographie
Endometrium
Topographie Gruppe
Genitalorgane, weiblich
Beschreibung
Hoch aufgebautes Endometrium mit kleinen rundlichen Drüsen und zelldichtem Stroma. Das Endometrium bildet zungenförmige Ausläufer in das darunterliegende Myometrium.
Klinik
Dysfunktionelle Blutungen bei Uterus myomatosus.
Bilder Typ
Histologie
Vergrösserung
25
Alter
40
Geschlecht
unbekannt
Datum
Ersteintrag: 12.11.2001
Update: 04.02.2024