Diagnose
floride chronische Sialadenitis bei Sialolithiasis.
Diagnose Gruppe
Entzündung infektiös
Topographie
Glandula submandibularis
Topographie Gruppe
Kopf & Hals, Sinnesorgane
Beschreibung
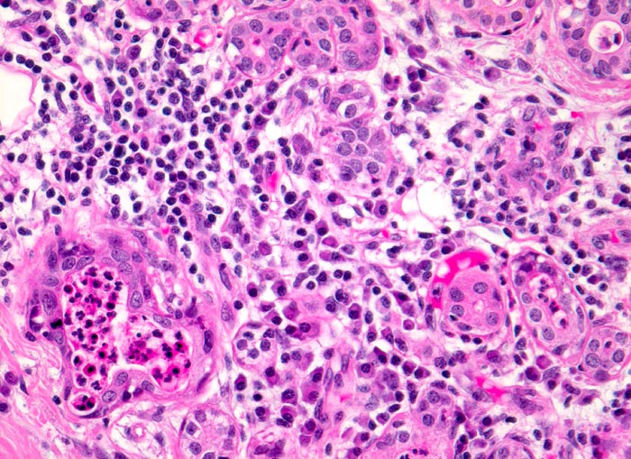
Drüsenläppchen mit ödematösem lymphoplasmazellulär infiltriertem Stroma. Zwei Drüsenlumina sind leicht erweitert und enthalten Eiter. Die Drüsenazini sind atrophiert.
Klinik
chronische Sialadenitis
Datum
Ersteintrag: 12.11.2001
Update: 04.02.2024