PathoPic – image database / PathoPic ID 3321 - Siegelringzellkarzinom des Magens: Tumorinfiltration des Ösophagus

de
Diagnose
Siegelringzellkarzinom des Magens: Tumorinfiltration des Ösophagus
Diagnose Gruppe
maligner Tumor
Topographie
Oesophagogastrischer Uebergang
Topographie Gruppe
Oesophagus, Magen
Beschreibung
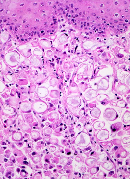
Der Tumor breitet sich submukös im Ösophagus aus. Die Ösophagusschleimhaut über dem Tumor ist intakt. Der Tumor besteht praktisch ausschliesslich aus Siegelringzellen mit unterschiedlich grossen Schleimvakuolen, die den Kern zur Seite drängen.
Zusatzbefund
Diffuse Verdickung der Magenwand auf einem Durchmesser von 16cm. Submuköse Tumorausbreitung im distalen Ösophagusdrittel. Magenoberfläche grobhöckrig ohne Ulzera oder polypoide Tumormasse.
Klinik
Fortgeschrittenes Adenokarzinom im distalen Ösophagus.
Kommentar
Magenkarzinome, die zu mindestens 50% aus Siegelringzellen bestehen, werden gemäss WHO als Siegelringzellkarzinome bezeichnet.
Bilder Typ
Histologie
Alter
38
Geschlecht
männlich
Datum
Ersteintrag: 12.11.2001
Update: 04.02.2024