Pathopic
HiPaKu
ZyPaKu
PathoBasic
PathoBasic Cytology
Quizzes
Projektinfos
PathoPic - Projekt- und Copyright-Infos
About
Pathopic
HiPaKu
ZyPaKu
PathoBasic
PathoBasic Cytology
Quizzes
PathoPic – image database
/
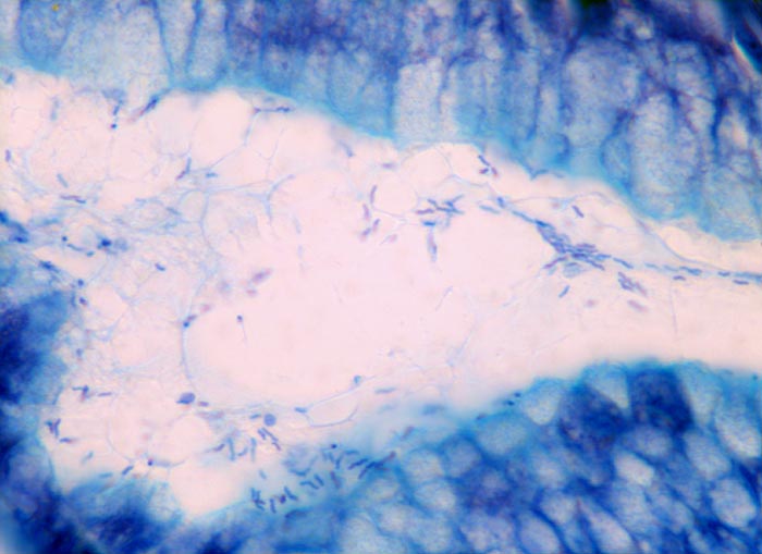
PathoPic ID 3330 - Helikobakter pylori
de
Diagnose
Helikobakter pylori
Diagnose Gruppe
Entzündung infektiös
Topographie
Magenantrum
Topographie Gruppe
Oesophagus, Magen
Beschreibung
Im Schleim auf der Mukosaoberfläche finden sich zahlreiche schlanke, leicht gekrümmte Bakterien.
Zusatzbefund
Chronische aktive Gastritis
Bilder Typ
Histologie
Vergrösserung
400
Alter
50
Geschlecht
unbekannt
Datum
Ersteintrag: 12.11.2001
Update: 04.02.2024
CPS
·
©
2024 Institut für Pathologie Basel
/
Dr. med. Katharina Glatz-Krieger
.
·
v2.1