Kommentar
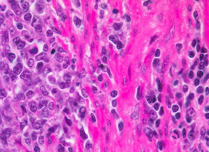
Extranodale MALT Lymphome des Magens können sekundär transformieren in ein diffuses grosszelliges B-Zell Lymphom. Dieses ist definiert als mehr als 10% Blasten, bzw. Anwesenheit eines Clusters von mehr als 20 Blasten oder Blastenrasen neben kleinzelliger MALT Lymphom Komponente.