PathoPic – image database / PathoPic ID 3332 - extranodales Marginalzonenlymphom vom MALT-Typ

de
Diagnose
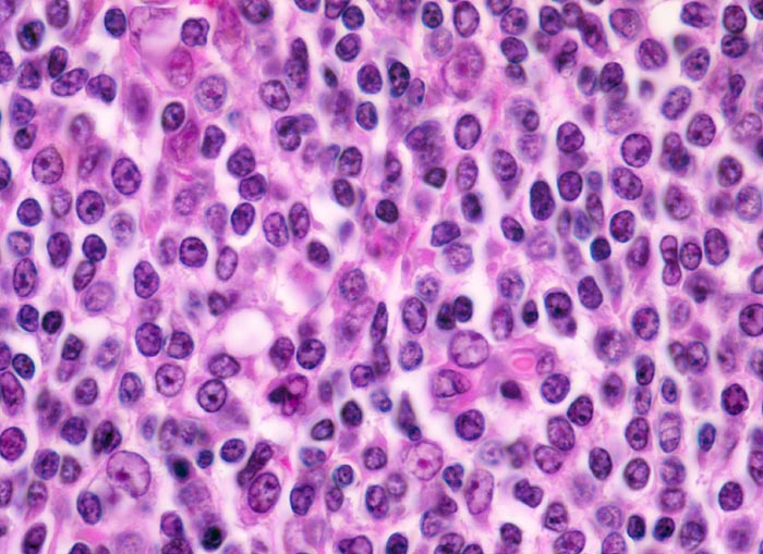
extranodales Marginalzonenlymphom vom MALT-Typ
Diagnose Gruppe
maligner Tumor
Topographie
Magen
Topographie Gruppe
Oesophagus, Magen
Beschreibung
Das neoplastische Infiltrat besteht aus kleinen zentrozytoiden Zellen mit leicht entrundeten Kernen und wenig Zytoplasma. Eingestreut einzelne immunoblastäre Zellen.
Bilder Typ
Histologie
Vergrösserung
400
Alter
72
Geschlecht
männlich
Datum
Ersteintrag: 12.11.2001
Update: 04.02.2024