Kommentar
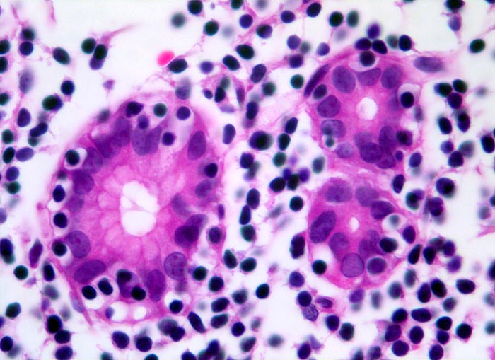
Eine lymphoepitheliale Läsion ist definiert als mindestens 3 neoplastische Marginalzonenzellen innerhalb des Drüsenepithels begleitet von einer Destruktion des Epithels. Lymphoepitheliale Läsionen sind typisch für MALT Lymphome, sind aber nicht immer nachweisbar.