PathoPic – image database / PathoPic ID 3356 - Irritierte seborrhoische Warze

de
Diagnose
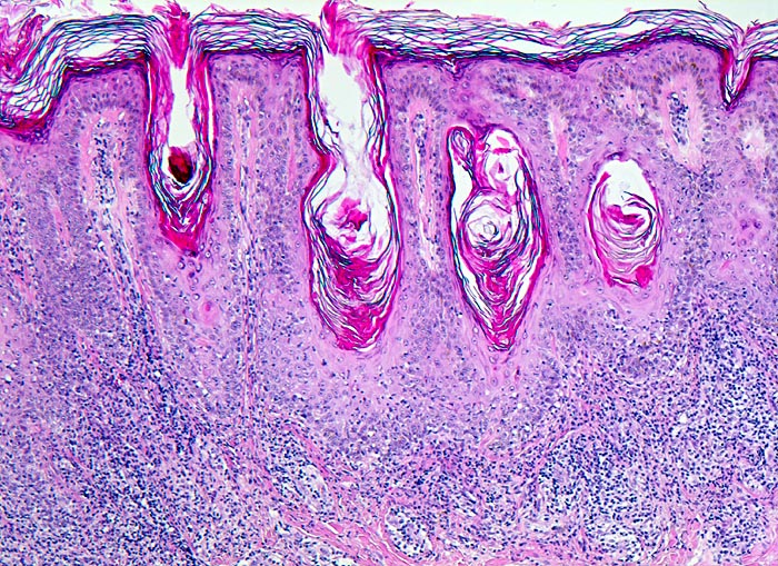
Irritierte seborrhoische Warze
Diagnose Gruppe
benigner Tumor
Topographie
Haut, Rumpf
Topographie Gruppe
Haut
Beschreibung
Hyperkeratotischer Tumor mit akanthotischer Verbreiterung der Epidermis. Ausgeprägtes bandförmiges Entzündungsinfiltrat in der dermoepidermalen Junktionszone.
Klinik
Juckender Hauttumor am Rücken
Bilder Typ
Histologie
Vergrösserung
25
Alter
60
Geschlecht
unbekannt
Datum
Ersteintrag: 12.11.2001
Update: 04.02.2024