PathoPic – image database / PathoPic ID 3371 - mässige Dysplasie des Plattenepithels, parakeratotische Verhornung

de
Diagnose
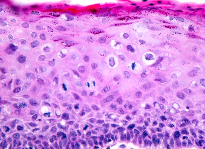
mässige Dysplasie des Plattenepithels, parakeratotische Verhornung
Diagnose Gruppe
Präneoplasie/ Atypie/ Dignität?
Topographie
Portio
Topographie Gruppe
Genitalorgane, weiblich
Beschreibung
Metaplastisches Plattenepithel der Portio. Vergrösserte leicht hyperchromatische Kerne und Mitosen bis auf halbe Epithelhöhe. Weitgehend erhaltene Architektur. Die oberste Epithelschicht zeigt Einlagerungen von Keratohyalingranula. In der obersten abgeflachten Schicht sind noch Zellkerne erkennbar.
Klinik
Pap IV, rezidivierend. Konisation
Bilder Typ
Histologie
Vergrösserung
320
Alter
26
Geschlecht
unbekannt
Datum
Ersteintrag: 12.11.2001
Update: 04.02.2024