Diagnose
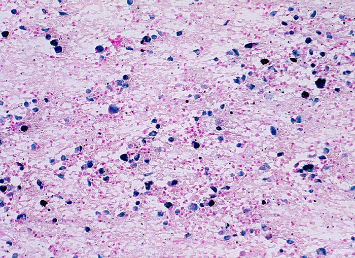
chronische Lungenstauung: Herzfehlerzellen
Diagnose Gruppe
vaskulär / Durchblutungsstörung
Topographie Gruppe
Lunge, Mediastinum mit Thymus
Beschreibung
Im Sputumausstrich sind in der Eisenfärbung zahlreiche Makrophagen erkennbar, die eisenhaltiges Hämosiderin enthalten.
Klinik
Patient mit koronarer Herzkrankheit und Linksherzinsuffizienz.
Datum
Ersteintrag: 16.12.2001
Update: 04.02.2024