PathoPic – image database / PathoPic ID 3384 - Magenkarzinom: Tumorinfiltration des Ösophagus

de
Diagnose
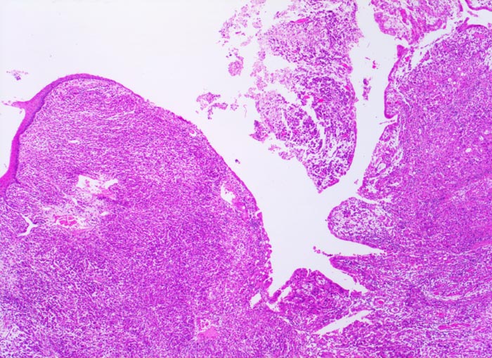
Magenkarzinom: Tumorinfiltration des Ösophagus
Diagnose Gruppe
maligner Tumor
Topographie
Oesophagogastrischer Uebergang
Topographie Gruppe
Oesophagus, Magen
Beschreibung
Das Karzinom breitet sich diffus in der Wand von Magen und Ösophagus aus. Die Ösophagusschleimhaut (links im Bild) und das Oberflächenepithel des Magens sind intakt.
Zusatzbefund
Diffuse Verdickung und Versteifung der Magenwand im Sinne einer Linitis plastica bei intakter Schleimhautoberfläche. Aufhebung des Faltenreliefs.
Klinik
Seit einigen Monaten klagte der Patient über unspezifische Oberbauchbeschwerden.
Bilder Typ
Histologie
Vergrösserung
25
Alter
46
Geschlecht
männlich
Datum
Ersteintrag: 17.12.2001
Update: 04.02.2024