PathoPic – image database / PathoPic ID 3410 - alpha-1-Antitrypsinmangel

de
Diagnose
alpha-1-Antitrypsinmangel
Diagnose Gruppe
angeboren /genetisch/Missbildung
Topographie
Leber
Topographie Gruppe
Leber, Gallenwege, Pankreas
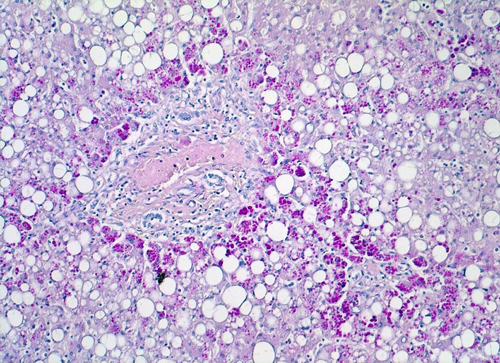
Beschreibung
Diastase-PAS positive Einschlüsse von alpha-1 Antitrypsin in periportalen Hepatozyten.
Zusatzbefund
-
Kommentar
Bei Patienten mit alpha-1 Antitrypsinmangel wird das alpha-1 Antitrypsin nicht ins Blut abgegeben, sondern in Hepatozyten gespeichert, wo es zu einer Entzündung und Fibrose der Leber führt. Alpha-1 Antitrypsin schützt die Lunge vor Abbau durch Proteasen. Deshalb entwickeln Patienten mit alpha-1 Antitrypsinmangel ein Lungenemphysem.
Bilder Typ
Histologie
Vergrösserung
100
Geschlecht
weiblich
Datum
Ersteintrag: 17.12.2001
Update: 04.02.2024