PathoPic – image database / PathoPic ID 3417 - chronische Cholezystitis mit Steineindruckstelle

de
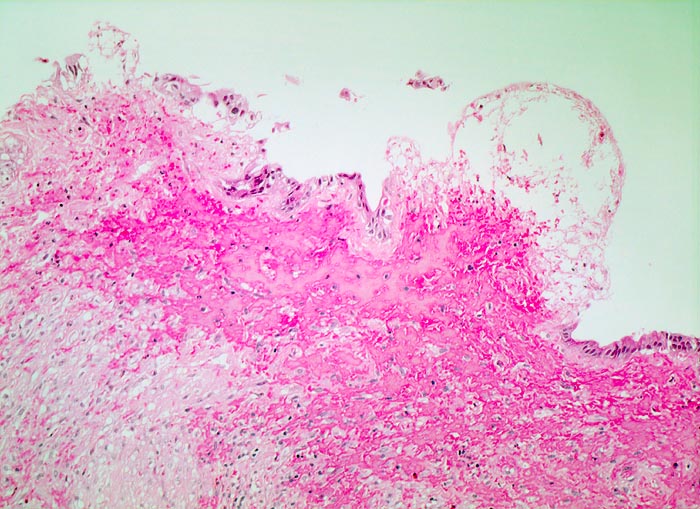
Diagnose
chronische Cholezystitis mit Steineindruckstelle
Diagnose Gruppe
Entzündung / Reparatur
Topographie
Gallenblase
Topographie Gruppe
Leber, Gallenwege, Pankreas
Beschreibung
Das Schleimhautrelief ist abgeflacht. Steineindruckstelle mit druckbedingtem Ulkus mit Ablagerung von Fibrin und Einblutung im Ulkusgrund.
Zusatzbefund
-
Klinik
Wiederholte rechtsseitige Oberbauchbeschwerden.
Bilder Typ
Histologie
Vergrösserung
100
Alter
65
Geschlecht
männlich
Datum
Ersteintrag: 17.12.2001
Update: 04.02.2024