PathoPic – image database / PathoPic ID 3420 - Pleomorphes Adenom der Speicheldrüse

de
Diagnose
Pleomorphes Adenom der Speicheldrüse
Diagnose Gruppe
benigner Tumor
Topographie
Parotis
Topographie Gruppe
Kopf & Hals, Sinnesorgane
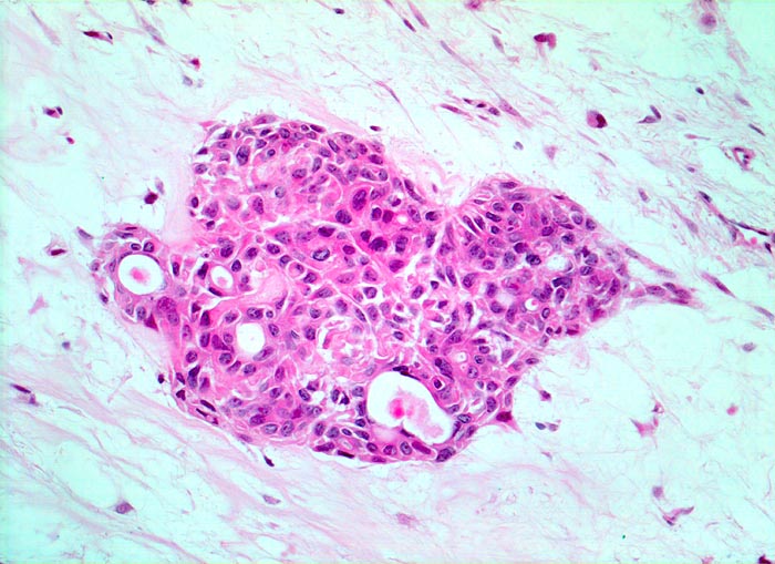
Beschreibung
Gangstrukturen werden umgeben von einer einschichtigen epithelialen Tumorzellkomponente umgeben von reichlich polygonalen bis spindeligen Myoepithelzellen und zellarmer mucoider Grundsubstanz (mesenchymale Tumorkomponente).
Zusatzbefund
5cm grosser bekapselter Tumor in der linken Parotis.
Klinik
Schmerzlose Vergrösserung der Parotis.
Bilder Typ
Histologie
Vergrösserung
200
Alter
54
Geschlecht
unbekannt
Datum
Ersteintrag: 17.12.2001
Update: 04.02.2024