PathoPic – image database / PathoPic ID 3421 - Pleomorphes Adenom der Speicheldrüse

de
Diagnose
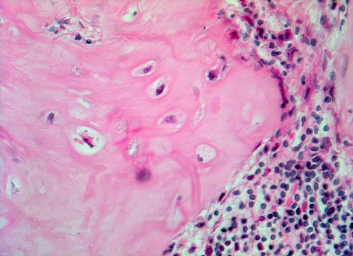
Pleomorphes Adenom der Speicheldrüse
Diagnose Gruppe
benigner Tumor
Topographie
Parotis
Topographie Gruppe
Kopf & Hals, Sinnesorgane
Beschreibung
Mesenchymale chondroide Tumorkomponente umgeben von mononukleären Entzündungszellen.
Zusatzbefund
5cm grosser bekapselter Tumor in der linken Parotis.
Klinik
Schmerzlose Vergrösserung der Parotis.
Bilder Typ
Histologie
Vergrösserung
320
Alter
54
Geschlecht
unbekannt
Datum
Ersteintrag: 17.12.2001
Update: 04.02.2024