PathoPic – image database / PathoPic ID 3422 - Pleomorphes Adenom der Speicheldrüse

de
Diagnose
Pleomorphes Adenom der Speicheldrüse
Diagnose Gruppe
benigner Tumor
Topographie
Parotis
Topographie Gruppe
Kopf & Hals, Sinnesorgane
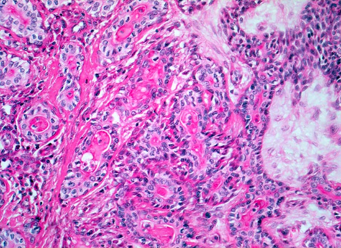
Beschreibung
Epitheliale Gangstrukturen ausgekleidet lumenwärts von einem einschichtigen kubischen Epithel und einer äusseren Myoepithelschicht. Die Myoepithelien bilden stellenweise solide $o{qy8062494Myoepithelien} Zellmassen. Wenig mukoides Stroma. Die Drüsen sind ausgekleidet von kubischem Epithel und enthalten homogene hyaline Massen.
Zusatzbefund
5cm grosser bekapselter Tumor in der linken Parotis.
Klinik
Schmerzlose Vergrösserung der Parotis.
Bilder Typ
Histologie
Vergrösserung
200
Alter
54
Geschlecht
unbekannt
Datum
Ersteintrag: 17.12.2001
Update: 04.02.2024