PathoPic – image database / PathoPic ID 3424 - extranodales Marginalzonenlymphom vom MALT-Typ

de
Diagnose
extranodales Marginalzonenlymphom vom MALT-Typ
Diagnose Gruppe
maligner Tumor
Topographie
Magenantrum
Topographie Gruppe
Oesophagus, Magen
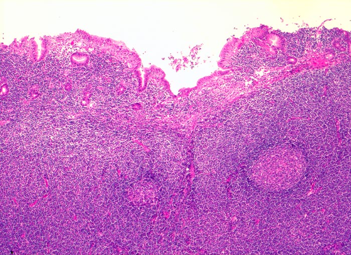
Beschreibung
Ausbreitung der Tumorzellen in der Marginalzone um und zwischen reaktiven Sekundärfollikeln. Infiltration von Mukosa und Submukosa.
Zusatzbefund
-
Klinik
73 jährige Patientin mit chronischer Helikobakter-Gastritis. Magenbefall ohne Lymphknotenbefall.
Kommentar
Oft multifokales Tumorwachstum (Gefahr der falsch negativen Diagnose wegen Trefferfehler bei Biopsie).
Bilder Typ
Histologie
Vergrösserung
50
Alter
73
Geschlecht
unbekannt
Datum
Ersteintrag: 17.12.2001
Update: 04.02.2024