PathoPic – image database / PathoPic ID 3430 - akute eitrige ulzerophlegmonöse Appendizitis: Ulkus

de
Diagnose
akute eitrige ulzerophlegmonöse Appendizitis: Ulkus
Diagnose Gruppe
Entzündung / Reparatur
Topographie
Appendix vermiformis
Topographie Gruppe
Darm, Anus
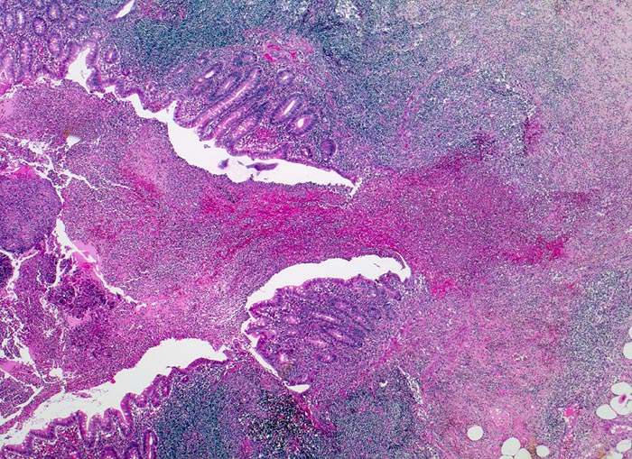
Beschreibung
Rechts im Bild ein Ulkus. Daneben erhaltene Kolonmukosa. Die Appendixwand ist diffus entzündlich infiltriert.
Zusatzbefund
-
Klinik
Seit 6 Stunden Schmerzen im Unterbauch rechts mit zunehmender lokaler Druckempfindlichkeit. Übelkeit.
Bilder Typ
Histologie
Vergrösserung
25
Alter
8
Geschlecht
männlich
Datum
Ersteintrag: 17.12.2001
Update: 04.02.2024