PathoPic – image database / PathoPic ID 3433 - akute Appendizitis: fibrinös eitrige Peritonitis

de
Diagnose
akute Appendizitis: fibrinös eitrige Peritonitis
Diagnose Gruppe
Entzündung / Reparatur
Topographie
Appendix vermiformis
Topographie Gruppe
Darm, Anus
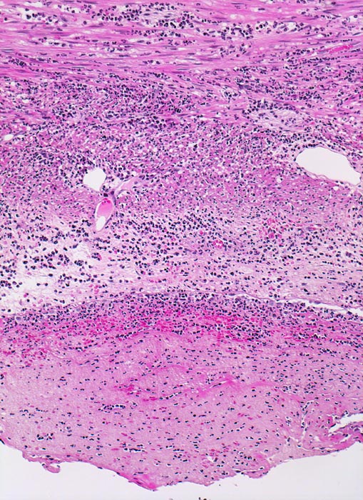
Beschreibung
Das Peritoneum unten im Bild wird bedeckt von einer dicken Schicht bestehend aus neutrophilen Granulozyten und Fibrin. Die Muscularis propria der Appendix zeigt ein phlegmonöses Entzündungsinfiltrat.
Zusatzbefund
-
Klinik
Seit 6 Stunden Schmerzen im Unterbauch rechts mit zunehmender lokaler Druckempfindlichkeit. Übelkeit.
Bilder Typ
Histologie
Vergrösserung
100
Alter
8
Geschlecht
männlich
Datum
Ersteintrag: 17.12.2001
Update: 04.02.2024