PathoPic – image database / PathoPic ID 3437 - Normale Glandula Parotis: Acini und Streifstücke

de
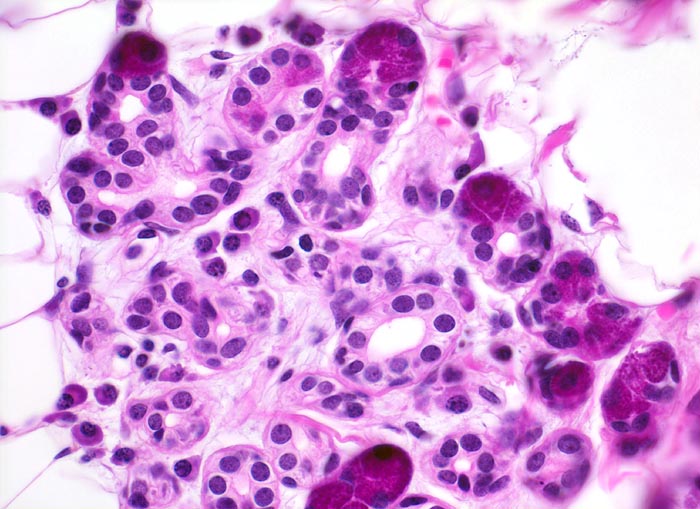
Diagnose
Normale Glandula Parotis: Acini und Streifstücke
Diagnose Gruppe
Normalbefund
Topographie
Parotis
Topographie Gruppe
Kopf & Hals, Sinnesorgane
Beschreibung
Die Acini der rein serösen Speicheldrüse bestehen aus einem Zelltyp mit feingranulärem PAS positivem Zytoplasma. Die Schaltstücke gehen aus den Acini hervor. Sie werden von einem kubischen Epithel mit zentralen grossen Kernen ausgekleidet. Im lockeren Stroma zwischen den Acini liegen einzelne Plasmazellen.
Bilder Typ
Histologie
Alter
42
Geschlecht
unbekannt
Datum
Ersteintrag: 17.12.2001
Update: 04.02.2024