Pathopic
HiPaKu
ZyPaKu
PathoBasic
PathoBasic Cytology
Quizzes
Projektinfos
PathoPic - Projekt- und Copyright-Infos
About
Pathopic
HiPaKu
ZyPaKu
PathoBasic
PathoBasic Cytology
Quizzes
PathoPic – image database
/
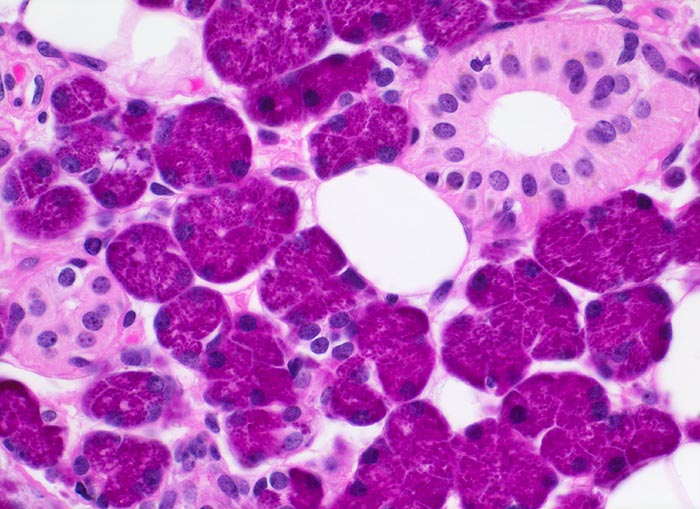
PathoPic ID 3440 - Normale Glandula Parotis
de
Diagnose
Normale Glandula Parotis
Diagnose Gruppe
Normalbefund
Topographie
Parotis
Topographie Gruppe
Kopf & Hals, Sinnesorgane
Beschreibung
Aus serösen Zellen bestehende Drüsenazini. Links im Bild ein Schaltstück mit kubischem Epithel. Rechts im Bild ein Streifstück mit suprabasalen Kernen im auskleidenden Epithel.
Bilder Typ
Histologie
Vergrösserung
630
Alter
42
Geschlecht
unbekannt
Datum
Ersteintrag: 03.02.2002
Update: 04.02.2024
CPS
·
©
2024 Institut für Pathologie Basel
/
Dr. med. Katharina Glatz-Krieger
.
·
v2.1