Pathopic
HiPaKu
ZyPaKu
PathoBasic
PathoBasic Cytology
Quizzes
Projektinfos
PathoPic - Projekt- und Copyright-Infos
About
Pathopic
HiPaKu
ZyPaKu
PathoBasic
PathoBasic Cytology
Quizzes
PathoPic – image database
/
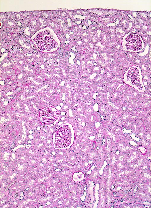
PathoPic ID 3442 - Normale Nierenrinde
de
Diagnose
Normale Nierenrinde
Diagnose Gruppe
Normalbefund
Topographie
Niere
Topographie Gruppe
Niere, Harnwege
Beschreibung
Unauffällige Nierenrinde
Bilder Typ
Histologie
Vergrösserung
50
Alter
64
Geschlecht
männlich
Datum
Ersteintrag: 17.12.2001
Update: 04.02.2024
CPS
·
©
2024 Institut für Pathologie Basel
/
Dr. med. Katharina Glatz-Krieger
.
·
v2.1