PathoPic – image database / PathoPic ID 3460 - extranodales diffuses grosszelliges B-Zell Lymphom (WHO)

de
Diagnose
extranodales diffuses grosszelliges B-Zell Lymphom (WHO)
Diagnose Gruppe
maligner Tumor
Topographie
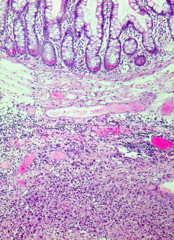
Ileum
Topographie Gruppe
Darm, Anus
Beschreibung
Grosszelliges Lymphominfiltrat in der Submukosa.
Zusatzbefund
Immunhistochemie: CD20 positiv, CD3 und CD30 negativ, CD117 negativ
Klinik
Akute Peritonitis bei Darmperforation
Bilder Typ
Histologie
Vergrösserung
50
Alter
88
Geschlecht
unbekannt
Datum
Ersteintrag: 17.12.2001
Update: 04.02.2024