Diagnose
Primäre biliäre Zirrhose im Stadium der Zirrhose
Diagnose Gruppe
Systemerkrankung/Immunpathologie
Topographie Gruppe
Leber, Gallenwege, Pankreas
Beschreibung
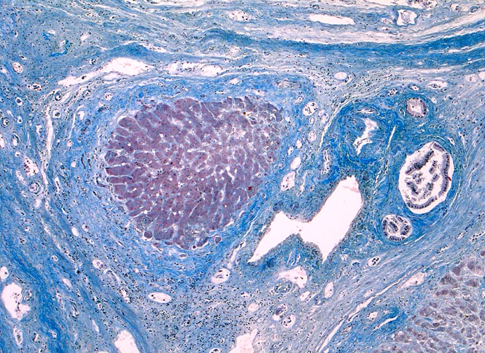
Feinknotiger zirrhotischer Umbau mit auffallend breiten Bindegewebssepten mit lockerem Entzündungsinfiltrat und Ductulusproliferation.
Klinik
Ikterische Patientin mit Müdigkeit und Pruritus. Positive antimitochondriale Antikörper Fraktion M2. Stark erhöhte Cholestaseparameter (alkalische Phosphatase und gamma-GT).
Kommentar
Die PBC kann in vier Stadien eingeteilt werden, wobei die einzelnen Stadien oftmals nebeneinander in derselben Leber vorkommen können.
I. floride Gallengangsläsion in den Portalfeldern
II. periportale Entzündungsinfiltration und Ductulusproliferation
III. Faservermehrung mit septaler Narbenbildung
IV. biliäre Zirrhose
Datum
Ersteintrag: 30.12.2001
Update: 04.02.2024