PathoPic – image database / PathoPic ID 3471 - glandulär zystische Hyperplasie der Korpusmukosa

de
Diagnose
glandulär zystische Hyperplasie der Korpusmukosa
Diagnose Gruppe
Hyperplasie / Hypertrophie
Topographie
Endometrium
Topographie Gruppe
Genitalorgane, weiblich
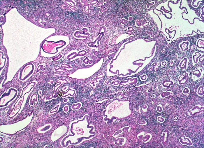
Beschreibung
Hoch aufgebaute Mukosa mit unregelmässig zystisch dilatierten Drüsen (sogenanntes Schweizerkäsemuster). Zwischen den einzelnen Drüsen liegt reichlich Stroma.
Zusatzbefund
-
Klinik
Meno-Metrorrhagien bei perimenopausaler Patientin. Adipositas.
Kommentar
Die Endometriumhyperplasie wird eingeteilt in eine einfache Hyperplasie mit oder ohne Atypie (meist ohne Atypie) oder eine komplexe Hyperplasie mit oder ohne Atypie. Die vorliegende einfache Hyperplasie entwickelt sich nur selten zu einem Endometriumkarzinom weiter.
Bilder Typ
Histologie
Vergrösserung
25
Alter
50
Geschlecht
unbekannt
Datum
Ersteintrag: 04.07.2002
Update: 04.02.2024