PathoPic – image database / PathoPic ID 3474 - Malignes Melanom

de
Diagnose
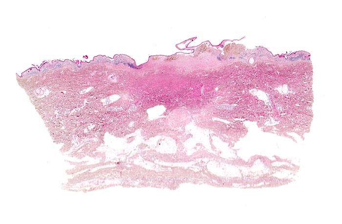
Malignes Melanom
Diagnose Gruppe
maligner Tumor
Topographie
Haut, untere Extremität
Topographie Gruppe
Haut
Beschreibung
Asymmetrische, in der oberen Dermis gelegene pigmentierte Läsion (braun) mit begleitendem perifokalem Entzündungsinfiltrat (blau).
Zusatzbefund
Stellenweise erhabene, unregelmässig begrenzte und inhomogen gefärbte braun-schwarze Hautläsion.
Klinik
Rasch gewachsene Hautläsion am Unterschenkel.
Bilder Typ
Histologie
Vergrösserung
Scan
Alter
57
Geschlecht
unbekannt
Datum
Ersteintrag: 25.09.2002
Update: 04.02.2024