PathoPic – image database / PathoPic ID 3477 - Malignes Melanom

de
Diagnose
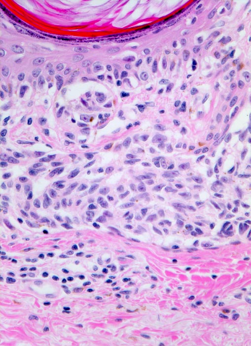
Malignes Melanom
Diagnose Gruppe
maligner Tumor
Topographie
Haut, untere Extremität
Topographie Gruppe
Haut
Beschreibung
Atypische, teils pigmentierte Melanozyten mit länglichen vergrösserten Kernen mit prominenten eosinophilen Nukleolen. Die Melanomzellen haben reichlich Zytoplasma. In der Epidermis finden sich einzeln und teils suprabasal liegende atypische Melanozyten.
Zusatzbefund
Stellenweise erhabene, unregelmässig begrenzte und inhomogen gefärbte braun-schwarze Hautläsion.
Klinik
Rasch gewachsene Hautläsion am Unterschenkel.
Bilder Typ
Histologie
Vergrösserung
320
Alter
57
Geschlecht
unbekannt
Datum
Ersteintrag: 17.12.2001
Update: 04.02.2024