PathoPic – image database / PathoPic ID 3478 - Malignes Melanom

de
Diagnose
Malignes Melanom
Diagnose Gruppe
maligner Tumor
Topographie
Haut, untere Extremität
Topographie Gruppe
Haut
Beschreibung
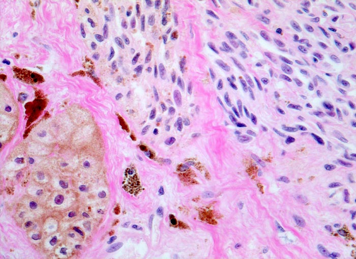
Verbände von teils spindeligen feinkörnig pigmentierten Melanomzellen ohne Ausreifungszeichen. Im Stroma zahlreiche Makrophagen mit phagozytiertem grobgranulärem Pigment (Melanophagen).
Zusatzbefund
Stellenweise erhabene, unregelmässig begrenzte und inhomogen gefärbte braun-schwarze Hautläsion.
Klinik
Rasch gewachsene Hautläsion am Unterschenkel.
Bilder Typ
Histologie
Vergrösserung
320
Alter
57
Geschlecht
unbekannt
Datum
Ersteintrag: 25.09.2002
Update: 04.02.2024