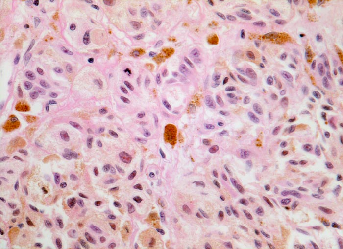
Atypische pigmentierte Zellen mit reichlich Zytoplasma und vergrösserten atypischen Kernen mit prominenten eosinophilen Nukleolen. Mitose. Zwischen den Tumorzellen Melanophagen mit grobgranulärem intrazytoplasmatischem Pigment.
Zusatzbefund
Stellenweise erhabene, unregelmässig begrenzte und inhomogen gefärbte braun-schwarze Hautläsion.
Klinik
Rasch gewachsene Hautläsion am Unterschenkel.
Kommentar
Der Nachweis von Mitosen in intradermal gelegenen Melanozyten spricht für das Vorliegen eines malignen Melanoms.