PathoPic – image database / PathoPic ID 3494 - Endometrium in Sekretionsphase (11. Tag nach Ovulation)

de
Diagnose
Endometrium in Sekretionsphase (11. Tag nach Ovulation)
Diagnose Gruppe
Normalbefund
Topographie
Endometrium
Topographie Gruppe
Genitalorgane, weiblich
Beschreibung
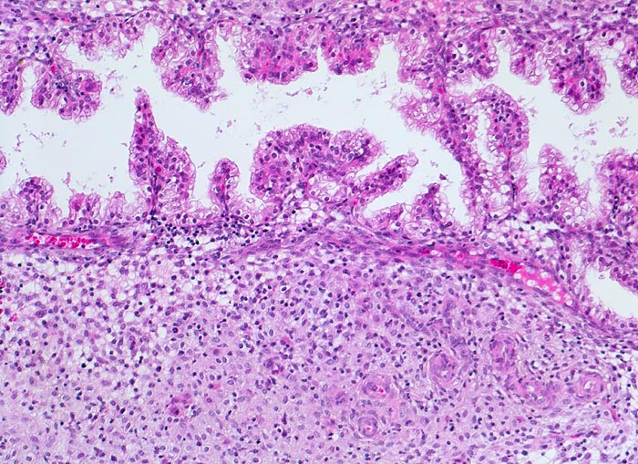
Sägezahnartige Endometriumdrüsen. Klarzelliges hochprismatisches einreihiges Epithel mit apikaler Sekretion. Das Stroma ist grosszellig umgewandelt. Rechts unten im Bild Spiralarterien.
Bilder Typ
Histologie
Vergrösserung
100
Alter
42
Geschlecht
unbekannt
Datum
Ersteintrag: 17.12.2001
Update: 04.02.2024