Pathopic
HiPaKu
ZyPaKu
PathoBasic
PathoBasic Cytology
Quizzes
Projektinfos
PathoPic - Projekt- und Copyright-Infos
About
Pathopic
HiPaKu
ZyPaKu
PathoBasic
PathoBasic Cytology
Quizzes
PathoPic – image database
/
PathoPic ID 3495 - Endometrium in Sekretionsphase: Spiralarterien
de
Diagnose
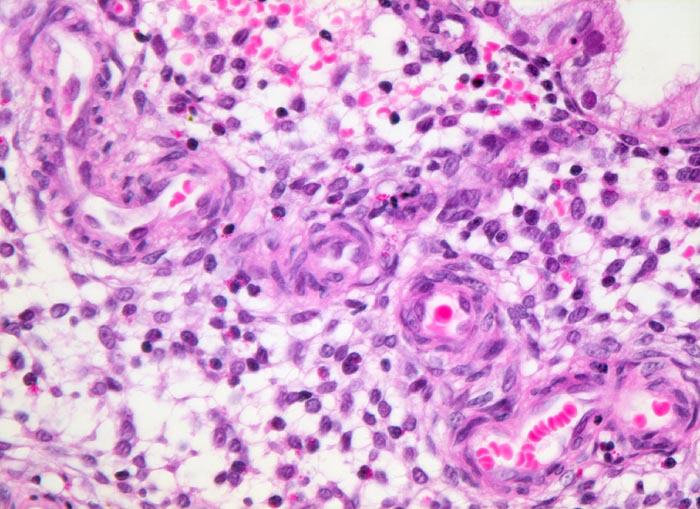
Endometrium in Sekretionsphase: Spiralarterien
Diagnose Gruppe
Normalbefund
Topographie
Endometrium
Topographie Gruppe
Genitalorgane, weiblich
Beschreibung
Ödematöses Stroma mit prominenten gewundenen Spiralarterien. Das angrenzende Stroma ist ödematös. Es enthält
Körnchenzellen mit rotem Zytoplasma. Das Epithel der endometranen Drüsen ist einreihig.
Bilder Typ
Histologie
Alter
42
Geschlecht
unbekannt
Datum
Ersteintrag: 17.12.2001
Update: 04.02.2024
CPS
·
©
2024 Institut für Pathologie Basel
/
Dr. med. Katharina Glatz-Krieger
.
·
v2.1