PathoPic – image database / PathoPic ID 3498 - adenoidzystisches Karzinom der Glandula Parotis

de
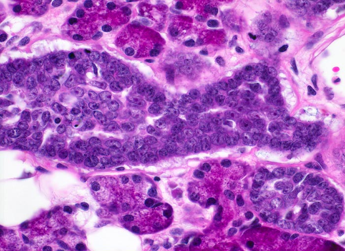
Diagnose
adenoidzystisches Karzinom der Glandula Parotis
Diagnose Gruppe
maligner Tumor
Topographie
Parotis
Topographie Gruppe
Kopf & Hals, Sinnesorgane
Beschreibung
Solides Tumorinfiltrat mit scharfer Begrenzung zum umgebenden serösen Speicheldrüsenparenchym.
Klinik
Schmerzhafter, rasch wachsender unscharf begrenzter Tumor in der Glandula Parotis.
Bilder Typ
Histologie
Vergrösserung
400
Alter
62
Geschlecht
männlich
Datum
Ersteintrag: 17.12.2001
Update: 04.02.2024