Pathopic
HiPaKu
ZyPaKu
PathoBasic
PathoBasic Cytology
Quizzes
Projektinfos
PathoPic - Projekt- und Copyright-Infos
About
Pathopic
HiPaKu
ZyPaKu
PathoBasic
PathoBasic Cytology
Quizzes
PathoPic – image database
/
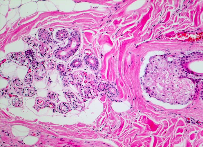
PathoPic ID 3502 - ekkrine Schweissdrüsen und Talgdrüse
de
Diagnose
ekkrine Schweissdrüsen und Talgdrüse
Diagnose Gruppe
Normalbefund
Topographie
Haut, Kopf
Topographie Gruppe
Haut
Beschreibung
An der Grenze von Dermis zur Subkutis. Rechts im Bild eine Talgdrüse. Links im Bild eine ekkrine Schweissdrüse.
Bilder Typ
Histologie
Vergrösserung
100
Geschlecht
weiblich
Datum
Ersteintrag: 17.12.2001
Update: 04.02.2024
CPS
·
©
2024 Institut für Pathologie Basel
/
Dr. med. Katharina Glatz-Krieger
.
·
v2.1