Pathopic
HiPaKu
ZyPaKu
PathoBasic
PathoBasic Cytology
Quizzes
Projektinfos
PathoPic - Projekt- und Copyright-Infos
About
Pathopic
HiPaKu
ZyPaKu
PathoBasic
PathoBasic Cytology
Quizzes
PathoPic – image database
/
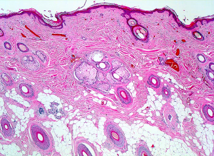
PathoPic ID 3505 - normale Felderhaut
de
Diagnose
normale Felderhaut
Diagnose Gruppe
Normalbefund
Topographie
Haut, Kopf
Topographie Gruppe
Haut
Beschreibung
Zahlreiche Haarfollikel. Anschnitte von Talgdrüsen assoziiert mit Haaren.
Bilder Typ
Histologie
Vergrösserung
25
Geschlecht
weiblich
Datum
Ersteintrag: 17.12.2001
Update: 04.02.2024
CPS
·
©
2024 Institut für Pathologie Basel
/
Dr. med. Katharina Glatz-Krieger
.
·
v2.1