Diagnose
Polyäthylenabrieb
Diagnose Gruppe
Artefakt / Fremdkörper / Pigment
Topographie
Weichteile Hüfte
Topographie Gruppe
Weichteile
Beschreibung
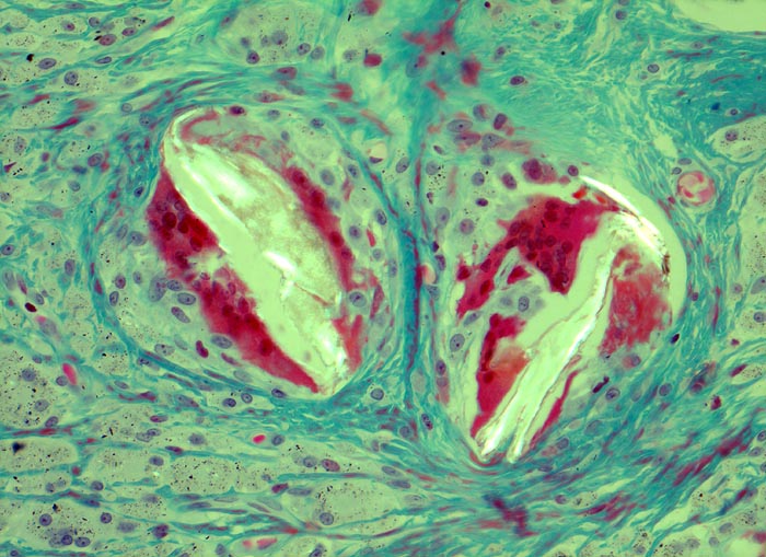
Langes fadenförmiges doppelbrechendes Fremdmaterial (Polyethylen) umgeben von Fremdkörperriesenzellen. Neben den Riesenzellen zahlreiche Histiozyten mit doppelbrechendem granulärem und stäbchenförmigem Material (Zirkondioxid).
Klinik
St.n. Hüftgelenksendoprothese vor 7 Jahren. Jetzt Prothesenlockerung. Entnahme von Gelenkkapsel bei Wechseloperation.
Datum
Ersteintrag: 17.12.2001
Update: 04.02.2024