PathoPic – image database / PathoPic ID 3517 - Osteoidose: begrabenes Osteoid

de
Diagnose
Osteoidose: begrabenes Osteoid
Diagnose Gruppe
Systemerkrankung/Immunpathologie
Topographie
Knochenmark, Beckenkamm
Topographie Gruppe
Knochen, Knorpel, Gelenke
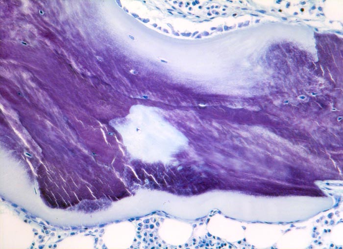
Beschreibung
Auf dem stark verbreiterten hellblauen Osteoidsaum sitzt eine Osteoblastentapete aus kubischen Osteoblasten. Innerhalb des mineralisierten Knochenbalkens Streifen von hellblauem nicht mineralisiertem Osteoid (begrabenes Osteoid). Die Mineralisationsfront ist durch eine unvollständige Mineralisation unscharf begrenzt.
Klinik
Diffuse Knochenschmerzen. Vermehrte Strahlentransparenz der Wirbelsäule. Chronische Pankreatitis und St.n. Billroth II Magenresektion. Kachexie, Muskelschwäche, tetanische Beschwerden.
Kommentar
Ein gleiches Bild könnte auftreten bei einem primären Hyperparathyreoidismus, bei einer renalen Osteopathie oder bei einem Zustand nach Fluoridmedikation. Histologisch kann lediglich eine Osteoidose diagnostiziert werden. Zusammen mit der klinischen Angabe kann in diesem Fall von einem Vitamin D Mangel (Osteomalazie) ausgegangen werden.
Bilder Typ
Histologie
Vergrösserung
200
Alter
52
Geschlecht
männlich
Datum
Ersteintrag: 17.12.2001
Update: 04.02.2024